Ссылки для упрощенного доступа

По анализу крови можно предсказать болезнь Альцгеймера


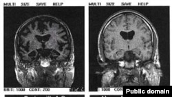
Томография мозга. Слева - болезнь Альцгеймера, справа - здоровый мозг. Но даже томография не позволяет уверенно ставить этот диагноз
Томография мозга. Слева - болезнь Альцгеймера, справа - здоровый мозг. Но даже томография не позволяет уверенно ставить этот диагноз

Стареющее человечество сталкивается с трудной проблемой. Человек, сохранивший здоровье до 70-80 лет, теряет память и впадает в слабоумие – это болезнь Альцгеймера. Будущее развитие болезни необходимо предсказать как можно раньше, чтобы успешно с ней бороться. Ученые получили первые результаты, позволяющие надеяться на возможность ранней диагностики.


Одним из наиболее тревожных аспектов болезни Альцгеймера является трудность ранней диагностики заболевания: необходимо определить является ли возникновение умеренных проблем с памятью началом неизбежного снижения умственной деятельности. Исследователи Университета Стэнфорда (Stanford University School of Medicine) разработали способ исследования крови, который позволяет предупредить о приближении болезни в срок от 2-х до 6 лет до начала заболевания.


Предложенный учеными анализ крови определяет изменения в определенных белках плазмы крови. Клетки крови используют эти белки, чтобы передать друг другу сообщения. Исследователи обнаружили связь между изменениями в этом «клеточном диалоге» и теми изменениями в мозге, которые сопровождают болезнь Альцгеймера, то есть анализ кровь может показывать наличие болезни Альцгеймера. В 90% случаев результаты теста совпали с клиническим диагнозом. Если при дальнейших исследованиях вывод подтвердиться, можно будет прогнозировать начало болезни задолго до проявления ее клинических признаков.


Бессилие человечества перед болезнью Альцгеймера обессмысливает другие успехи медицины: если мы можем защитить человека от раковых и сердечно-сосудистых заболеваний, но не можем предохранить его мозг, мы фактически продолжаем не его активную жизнь, а только растительное существование организма.


Болезнь стареющего человечества


Болезнь Альцгеймера – дегенеративное заболевание центральной нервной системы. При этом заболевании прогрессирует снижение интеллекта, слабеет память и изменяется поведение человека. Болезнь Альцгеймера является основной причиной слабоумия у пожилых людей. Первые симптомы могут появиться уже после 40 лет, а после 70-летнего возраста частота заболевания доходит до 30%.


В настоящее время, клинический диагноз болезни Альцгеймера ставится путем исключения других причин потери памяти и снижения интеллекта: если у человека нет инсульта, опухоли мозга или тяжелой формы алкоголизма, а память ухудшается и слабоумие прогрессирует – значит у пациента болезнь Альцгеймера. Несмотря на использование данных компьютерной и магнитно-резонансной томографии, электоэнцефалографического и биохимического исследований клинический диагноз не является совершенно точным, и окончательный диагноз устанавливается после вскрытия мозга уже после смерти пациента.


По данным американской Ассоциации по оказанию помощи страдающим от болезни Альцгеймера (Alzheimer's Association) более 5 миллионов американцев страдают этим недугом. По данным Всемирной организации здравоохранения (ВОЗ) 24 миллиона человек в мире страдают болезнью Альцгеймера


«Мозг – часть организма»


Над получением результатов исследования, позволившего надеяться на раннюю диагностику болезни Альцгеймера, работали несколько научных коллективов. Исследователи взяли образцы крови пяти человек с диагнозом болезни Альцгеймера и сравнили их с образцами пяти здоровых людей. Ученые увидели поразительные различия в работе белков, используемых клетками для обмена информацией, в крови больных и здоровых людей. Таким образом, научившись измерять эти различия по анализу крови, можно предсказать будущее развитие болезни. Один из авторов исследования Маркус Бричги (Markus Britschgi) сказал: «Это исследование заставило меня понять, что мы должны уйти от восприятия мозга, как изолированного органа. Мозг – часть организма, связанного в единую огромную сеть».


Исследование было продолжено на 259 законсервированных образцах крови, взятых в клиниках США, Швеции, Польши и Италии у людей с разной степенью выраженности симптомов снижения познавательной деятельности от нормы до выраженного проявления болезни Альцгеймера. Ученые исследовали 120 различных белков и, постепенно сужая этот набор, и обнаружили, что 18 из них являются достаточными для идентификации образца, характерного для болезни Альцгеймера.


На основании полученных выводов был проведен анализ образцов крови от 92 человек, среди которых были как интеллектуально здоровые люди, так и пациенты в состоянии полного слабоумия: анализ белков соответствовал клиническому диагнозу в 90% случаев.


Затем исследователи задались вопросом, можно ли прогнозировать развитие болезни Альцгеймера. Ученые проанализировали пробы крови, взятые у 47 пациентов за несколько лет до того, как у них начала развиваться болезнь Альцгеймера. Анализ проб крови совпал с клиническим диагнозом в 91% случаев.


Причины болезни Альцгеймера


Исследователи определили, что 18 белков, которые свидетельствуют о наличии болезни Альцгеймера, участвуют в производстве новых клеток крови, в иммунных процессах и в апоптозе – процессе запрограммированной гибели клеток, когда они больше не нужны организму.


Гипотеза ученых о развитии болезни Альцгеймера заключается в том, что в организме происходит какая-то ошибка при создании некоторых клеток крови, необходимых, чтобы очищать мозг от лишних материалов, которые накапливаются в нем при болезни Альцгеймера.


Компания Satoris Inc., принимавшая участие в исследованиях, намерена провести коммерческие испытания, предложенного учеными тестирования крови. Первоначально для использования теста в исследовательских лабораториях, а в случае подтверждения надежности этого метода, в конечном итоге, как клинический диагностический тест.


XS
SM
MD
LG